歯周病治療
歯を失う原因の第一位、歯周病を
適切に治療
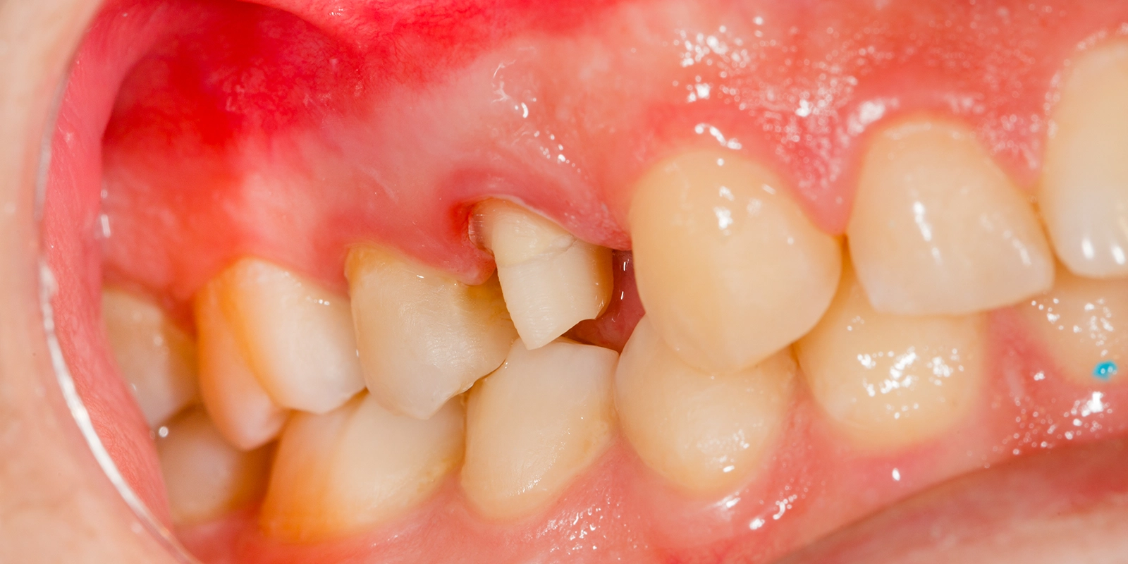
歯周病は、歯を支える骨や歯肉に炎症が起こる病気です。初期段階では自覚症状が少なく、気づいたときには進行していることが多い病気です。当院では、適切な診断と治療により、歯周病の進行を防ぎ、お口の健康を守ります。
歯周病とは
歯周病は、歯を支える骨や歯肉に炎症が起こる病気です。初期段階では自覚症状が少なく、気づいたときには進行していることが多い病気です。歯周病が進行すると、歯を支える骨が溶け、最終的に歯が抜けてしまうこともあります。
歯周病の症状
- 歯肉が腫れる
- 歯肉から出血する
- 口臭が気になる
- 歯がグラグラする
歯周病の治療
歯周病の治療は、まず原因となる歯垢や歯石を除去することから始まります。スケーリングやルートプレーニングなどの治療を行い、歯周病の進行を防ぎます。進行が進んでいる場合は、外科的な治療が必要になることもあります。
当院の歯周病治療の特徴
- 適切な診断と治療
- 痛みに配慮した治療
- 定期検診によるメンテナンス
歯周病の予防
歯周病の予防には、日々の歯磨きと定期検診が重要です。当院では、適切なブラッシング方法の指導や、定期的なクリーニングを行い、歯周病の予防をサポートします。
歯周病の進行段階と治療方法
軽度歯周炎
歯周ポケットが深くなり始め、歯石が歯ぐきの中にも付着します。スケーリング・ルートプレーニング(SRP)で歯根面を滑沢にし、炎症の原因を徹底的に除去します。

中等度歯周炎
歯ぐきの腫れや出血に加え、噛むと違和感が出ることがあります。SRPに加え、必要に応じて歯周外科(フラップ手術)で深い歯石を直接確認・除去し、清掃しやすい環境を整えます。

重度歯周炎
歯を支える骨が大きく失われ、歯の動揺や膿、口臭が強くなります。フラップ手術や再生療法を検討し、保存が難しい場合は抜歯後にブリッジ・入れ歯・インプラントなどで機能回復を図ります。

生活習慣・全身疾患との関係
歯周病はお口だけの問題ではなく、喫煙やストレス、糖尿病など全身の状態とも深く関わっています。そのため、お口とからだの両方を意識した対策が大切です。
喫煙と歯周病の関係
タバコに含まれるニコチンは血管を収縮させ、歯ぐきへの血流を悪くします。その結果、歯ぐきの抵抗力が落ち、歯周病が進行しやすくなります。また、喫煙者は非喫煙者と比べて、歯周病の発症リスクが2〜8倍高いともいわれています。
さらに、喫煙は治療効果も低下させます。同じ治療を受けても、喫煙者の方が治りが遅く、再発しやすい傾向があります。当院では、禁煙を希望される患者様には、禁煙外来との連携もご提案しています。
糖尿病と歯周病の相互関係
糖尿病の方は、血糖値が高い状態が続くことで、体の抵抗力が低下し、歯周病になりやすく、進行も早くなります。逆に、歯周病の炎症が血糖コントロールを悪化させることもわかっており、両者は相互に影響し合っています。
当院では、糖尿病をお持ちの患者様には、かかりつけ医と連携しながら、血糖コントロールを考慮した歯周病治療を行います。歯周病の改善が、糖尿病の改善にもつながる可能性があります。
ストレスと歯周病
過度なストレスは、体の免疫力を低下させ、歯周病を悪化させる要因の一つです。また、ストレスによって歯ぎしりや食いしばりが増えると、歯周組織に負担がかかり、歯周病の進行を早めることがあります。
当院では、患者様の生活環境やストレス状況もお聞きしながら、無理のない治療計画を立てています。必要に応じて、マウスピースの作製などもご提案します。
喫煙やストレス、糖尿病などの全身疾患は、歯周病を悪化させる大きな要因です。血流が悪くなることで歯ぐきの抵抗力が落ち、炎症が長引きやすくなります。
当院では、問診や検査結果を踏まえて、お一人おひとりの全身状態に配慮した歯周病治療を行います。必要に応じて生活習慣の見直しや、かかりつけ医との連携も図りながら、無理のない予防・改善プランをご提案します。
定期メンテナンスで守る
歯ぐきの健康
一度よくなった歯ぐきも、ケアをやめてしまうと再び歯周病が進行してしまいます。定期的なチェックとクリーニングで、小さな変化のうちに対応していくことが重要です。
メンテナンスの重要性
歯周病治療が終わった後も、定期的なメンテナンスを続けることで、健康な状態を長く保つことができます。ご自宅でのケアだけでは落としきれない汚れや歯石を、プロフェッショナルケアで取り除くことで、再発を防ぎます。
また、定期的にチェックすることで、小さな変化を早期に発見し、大きな治療になる前に問題を解決できます。メンテナンスは「治療」ではなく「予防」のための投資です。
メンテナンスの内容
当院のメンテナンスでは、歯ぐきの状態チェック、歯周ポケットの測定、歯石の除去、クリーニング、ブラッシング方法の確認などを行います。患者様一人ひとりのお口の状態に合わせて、最適なメンテナンスプランをご提案します。
また、生活習慣や全身状態の変化もお聞きしながら、必要に応じて治療内容やメンテナンスの頻度を調整していきます。患者様と一緒に、無理なく続けられる「歯周病予防習慣」を育てていきましょう。
メンテナンスの頻度
一般的には、3〜4か月ごとのメンテナンスを推奨していますが、歯周病の進行度や生活習慣、全身状態によって最適な頻度は異なります。重症度が高い方や、喫煙者、糖尿病の方などは、より頻繁なメンテナンスが必要になることがあります。
当院では、患者様一人ひとりの状態に合わせて、最適なメンテナンスの頻度をご提案します。無理なく続けられる頻度で、長期的に健康な歯ぐきを維持していきましょう。
歯周病は治療して終わりではなく、その後のメンテナンスがとても重要です。ご自宅でのケアだけでは落としきれない汚れや歯石を、定期的なプロフェッショナルケアで取り除くことで、良い状態を長く保つことができます。
茅ヶ崎しらゆり歯科では、3〜4か月ごとの定期検診を目安に、歯ぐきの状態チェックやクリーニング、ブラッシング方法の確認を行っています。患者様と一緒に、無理なく続けられる「歯周病予防習慣」を育てていきましょう。
よくある質問
どのくらいで治まりますか?
プラークと歯石を取り除き、正しいブラッシングを続けることで数週間〜1か月程度で炎症が落ち着くことが多いです。再発を防ぐため、定期的なメンテナンスが大切です。
スケーリングやルートプレーニングは基本的に大きな痛みはありませんが、しみやすい場合は表面麻酔や局所麻酔を併用します。負担を抑えた方法を一緒に検討しますのでご安心ください。
通院すれば良いですか?
治療初期は2〜4週間おきに通院し、炎症が落ち着いたら3〜4か月に1度のメンテナンスを推奨します。重症度や生活習慣によって最適な間隔をご案内します。
状態によっては保存できるケースも多く、炎症を抑えたうえで噛み合わせ調整やスプリントで歯を守ります。どうしても残せない場合のみ、抜歯や補綴治療を提案します。





